March 8, 2020

Девушка, не снимавшая контактные линзы целых 6 месяцев. Теперь посмотрите на ее глаза — просто кошмар!

Люди, которые пользовались контактными линзами, хоть раз в жизни сталкивались с проблемой: ты слишком устал, чтобы снимать линзы, и ложишься с ними спать. Эта история о том, что может произойти в подобных случаях.

Лиан Као, школьница из Тайваня, не снимала свои линзы дневного ношения на протяжении 6 месяцев.

Если линзы слишком долго остаются на глазах, на них может появиться много вредоносных для глаз бактерий.

Бактерия Acanthamoeba, как правило, не опасна для человека. Но когда из одной бактерии вырастает целый штамм, это не может не повлиять на глаз.

Попадая на линзу, Acanthamoeba начинает размножаться и распространяться по ее поверхности.

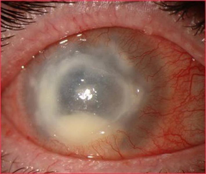
Посмотрите на глаз Лиан Као, после заражения.

Девочка ослепла. Врачи затрудняются сказать, удастся ли им помочь Лиан, и сможет ли она видеть.

У большинства людей бактерия вызывает лишь незначительное покраснение, которое быстро проходит. Лиан Као повезло намного меньше, хотя в этом виновата она сама. Девочка потеряла зрение из-за собственной безответственности и лени.